サイトロゴ

X線CTの画像再構成を高性能化する最新アルゴリズム

-

Advantages

被曝量を低減して高精度のCT画像を取得できる「インテリアCT」技術において、CT画像の再構成時に原理的に生じるアーティファクト(誤差)の問題を解決し、アーティファクトなしのインテリアCT画像を取得できる。

Background and Technology

通常のCTと異なり、検査対象の内側の一部分のみをカバーするX線ビームを照射して画像を取得する技術が「インテリアCT」である(右図)。この手法によれば、例えば、がん腫瘍のある臓器や血管が梗塞した脳や心臓などに制限してX線を照射し、それ以外の部位の被曝を極力減らした検査ができる。また、工業用CT装置においては、検査のために試料サイズをトリミングする必要なく、半導体素子中の欠陥や異物の確認を簡便に測定することができる。
インテリアCTはこうした大きなメリットを持つ技術である。しかしながら、インテリアCTにおいては、その画像の再構成(X線ビームの照射により得られた投影データから、断面画像を算出すること)の手法が確立されておらず、得られるCT画像にアーティファクト(誤差)が生じてしまうという問題があった。実は、この問題はインテリアCTに限らず通常のCTにおいても、肥満体型患者や大型の部材を検査する際にX線ビームが検査対象をカバーしきれない場合にインテリアCTと同様の状況となることから、このアーティファクトの問題はCT技術において解決すべき一般的なものと言える。
この度、筑波大学の工藤教授らは、このインテリアCTで生じるアーティファクトを大幅に削減・除去できる数学的に厳密なCT画像の再構成技術を完成した。従来の検査手法や装置を大きく変えることなく、インテリアCT撮像データにプラスアルファの僅かな情報を加えるのみでアーティファクトなしのCT画像を再構成できる。その結果、インテリアCTの持つ特長を最大限に発揮し、高精度・低アーティファクトのCT画像を、被曝量を大幅に抑えて取得できるようになる。

より詳しい技術説明をご希望でしたら、開発者のホームページや講義動画をご覧ください。
https://www.cs.tsukuba.ac.jp/~kudo/japanese.html
https://youtu.be/rIcDPBj7tc8

Data and Publication

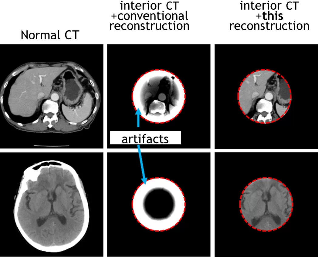
ヒトの胴体と脳に対しインテリアCT測定を行ったのち、従来方法と本技術の方法でCT画像を再構成した。その結果、従来方法ではアーティファクト(誤差)のためほとんどの情報が欠落したが(下図中央)、本技術の方法では、通常のCT画像と遜色ない高精度のインテリアCT画像が取得できた(下図右側)。この際のX線被曝量は通常のCTに比べて1/4~1/8に相当する。

Expectations

本技術を採用したCT装置(医療用、歯科用、工業非破壊検査用を問わず)の開発・製品化にご関心がある企業様を探しています。筑波大学が提供する技術をもとに、高画質・高速・低被曝なスパースビューCTの画像再構成を導入しませんか? 技術詳細の提供をご希望でしたら、上記の講義動画をご覧になった上で、弊社へお知らせください。開発者との直接のご面談によるお打合せの機会を提供いたします。技術導入に当たっては、参考となるプログラムの提供や開発者によるレクチャーに関する契約(有料)をご相談できます。
インテリアCTの他、スパースビューCT向けの画像再構成技術もございます。また、圧縮センシングを用いたり、機械学習を使った高性能再構成技術もございます。合わせて、以下のページもご覧ください。

省スキャンCTの高性能な画像再構成アルゴリズム
https://seeds.tech-manage.co.jp/blogs/post/DA-02355b

深層学習を用いた圧縮センシング画像再構成技術
https://seeds.tech-manage.co.jp/blogs/post/DA-02355c

Principal Investigator

工藤 博幸 教授(筑波大学システム情報系情報工学域)

プロジェクト番号:da-02355a