サイトロゴ

ベッカー型筋ジストロフィー(BMD)心筋症モデルブタを用いた新薬共同探索のご提案

筋力低下前に心不全を発症しやすいヒトBMD特徴的症状を高い精度で再現し、ヒトへの外挿性を有するモデル

Advantages

・ 中型動物で初めて確立されたBMD心筋症モデル
・ 麻酔投与により高確率で心臓機能低下(チアノーゼ・不整脈)を発症しヒトへの外挿性が高い
・ 血清心筋傷害マーカー・心電図・体色等で薬剤候補の治療効果評価・スクリーニングが可能

Background and Technology

ベッカー型筋ジストロフィー(BMD)は、症状としてはデュシェンヌ型筋ジストロフィー(DMD)より軽症といわれるが、骨格筋の変性に先行して心筋に変性が出ることがある。歩行などの異常などに表れないため疾患に気づきにくく、心不全などが進行し、運動や麻酔などで突然死するリスクがある。
また、’20年にDMDの核酸医薬が開発されたことにより、DMDの症状が回復し軽症となったベッカー型と同様の状態の患者症例が出てきており、今後増えてくると思われる。
一方、これまでBMDの治療薬は開発されておらず、狭心剤やステロイドといった対症療法で処置されているが、上記のようなリスクや患者症例の変化が認識され、治療ニーズが高まっている。
今回、麻布大学で保有する飼育ブタの中で、ベッカー型筋ジストロフィーの表現型を示す変異を持つ保因家系が発見され、この家系を固定し確立された。
この変異はX染色体の異常であるため、母ブタには症状が無く、雄仔ブタのうちの半分が発症するため、この雄仔ブタを疾患モデルとし、現在、この母ブタの凍結卵子と雄仔ブタの凍結精子を取得し、モデルの作製・再現方法を確立している。
本モデル(雄仔ブタ)を用いた候補治療薬のスクリーニング方法としては、麻酔投与を行うことにより、チアノーゼ、不整脈といった心臓機能低下を示す症状が高確率で出現するため、血清心筋傷害マーカー、心電図、体色、可視粘膜の色調の変化を定量測定・解析・症状が分析可能となる。

Data

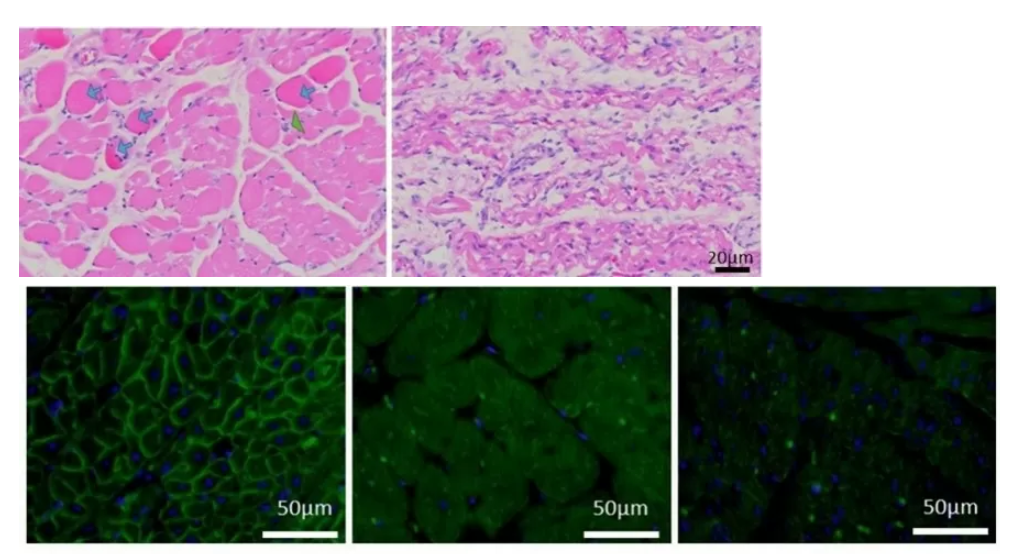
【図1】
麻酔ストレスにより心不全で死亡した雄仔ブタの骨格筋(左図)及び心筋(右図)の病理像。骨格筋に変性(矢印)及び再生像(矢頭)が観察される。心筋が高度に萎縮し蛇行している。
【図2】
心筋におけるジストロフィンの免疫染色。正常雄仔ブタ(左図)、母ブタ(中央図)及び死亡雄仔ブタ(右図)正常雄仔ブタに比べ、母ブタ及び死亡雄仔ブタの心臓ではジストロフィンの発現が顕著に減少している。

Expectations

本モデル作製方法を用いた、ライブラリーを基にしたベッカー型筋ジストロフィーの薬剤ポテンシャルの評価・スクリーニング、心機能への作用評価に関心をお持ちのパートナー企業を探しております。また、筋ジストロフィーをテーマとした共同研究についてもお気軽にご相談ください。

Patents and Publications

国内出願済み

プロジェクト番号:on-03701b