サイトロゴ

マクロファージ上の糖タンパク質受容体を標的とした アレルギー性皮膚炎の新規治療コンセプト

TLR4を介したアレルギー性の炎症反応がアシアロ糖タンパク質受容体(Asgr1)のリガンドであるムチン様糖鎖抗原(T抗原)によって抑制される

Advantages

・ ステロイド抵抗性、IgE非依存型、原因不明の皮膚炎に対する新規治療薬の開発が期待される
・ ダニによるアレルギー性喘息やアトピー性皮膚炎の発症メカニズムに即した新規治療薬

Background and Technology

ハウスダストマイト(HDM)は、喘息やアトピー性皮膚炎(AD)など、さまざまな疾患に関連するアレルゲンであり、ADの原因の約8割はHDMといわれている。
発明者らは、NC/Ngaマウス系統が、HDMに反応して重篤なADを発症する原因として、C型レクチン受容体Clec10aの変異を同定し、HDMが媒介する皮膚炎のメカニズムを明らかにした(図)。
HDMによる皮膚炎は、TLR4を介した炎症反応によって引き起こされ、ヒトではAsialoglycoprotein receptor 1 (Asgr1)がClec10aのホモログとして機能していた。
また、HDMには、Clec10aやAsgr1のリガンドとして機能する糖鎖抗原(T抗原)が存在することも明らかになり、このリガンドを皮膚に塗布すると、TLR4リガンドによるマウスの皮膚炎が改善された。

Data

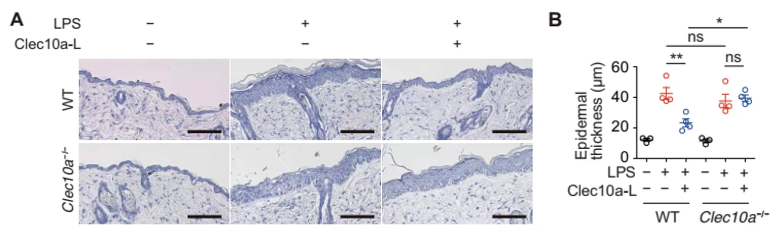
WTおよびClec10a-/-マウスの背側皮膚にLPSを塗布し、Clec10a-Lを添加、または添加しない群においてH&E染色(A)と5日目の表皮の厚さ(B)について比較したところ、HDM由来のClec10a-LはWTマウスにおけるLPS塗布による皮膚炎を改善した。

Expectations

本発明の糖鎖抗原を元にアレルギー疾患治療薬を開発する企業とのパートナリングを希望しています。企業と共同研究により最適な治療薬のモダリティを開発したいと考えており、筑波大学でヒトAsgr1の機能に基づくスクリーニングや薬効評価をするようなコラボレーションを提案します。

Principal Investigator

渋谷 彰 先生(筑波大学)

Patents and Publications

WO2020/179700

プロジェクト番号:wl-04059